Below are a few FAQs we thought you’d like to know.
Invisalign treatment uses a series of virtually invisible, removable, and comfortable aligners that allow you to smile more during treatment as well as after. Invisalign clear aligners are made with 3D computer imaging technology and have been proven effective. More than 70% of orthodontists in the US and Canada are certified to administer Invisalign treatment.
Not only are the aligners virtually invisible, they are removable, so you can eat and drink what you want while in treatment. Plus, brushing and flossing are no problem. They are also more comfortable than traditional braces, with no metal or wires, which also usually means you spend less time in your doctor’s office getting adjustments. Invisalign treatment also allows you to view your own virtual treatment plan when you start so you can see how your straight teeth will look when your treatment is complete.
You wear each set of aligners for about two weeks, removing them only to eat, drink, brush, and floss. As you replace each aligner with the next in the series, your teeth will move — little by little, week by week — until they have straightened to their final positions. You’ll visit us about once every six weeks to ensure that your treatment is progressing as planned. Total treatment time averages nine to 15 months and the average number of aligners worn during treatment is between 18 and 30, but both will vary from case to case.
For more information on Invisalign, you can visit the Invisalign website.
From busted smartphone screens to lost earbuds and more, kids can be pretty rough on their things. But with Invisalign Teen, we’ll be able to gently shift your teen’s teeth into their optimal position without brackets or wires. And the best part, Invisalign Teen comes with special indicators that help you, your teen and us know if your teen has been wearing them the right way. After all, for Invisalign Teen to be effective, your teen will need to wear their aligners for at least 20 to 22 hours a day.


Traditional braces, also known as metal braces, are orthodontic appliances used to straighten and align teeth. They consist of metal brackets that are bonded to the teeth and connected by wires. These wires apply gentle pressure to gradually move the teeth into the desired position over time. Traditional braces are effective for correcting a wide range of dental issues, including crooked teeth, crowded teeth, gaps between teeth, and bite problems.
Ceramic BracesCeramic braces are similar to traditional metal braces, but with brackets made of clear or tooth-colored ceramic material instead of metal. They function in the same way as metal braces, using wires and brackets to gradually shift the teeth into proper alignment. Ceramic braces are less noticeable than metal braces, making them a popular choice for individuals who want a more discreet orthodontic treatment option.
No more goop, gagging, or discomfort. Using an iTero scanner, your orthodontist can take a highly accurate digital impression of your teeth and jaw. The new technology completely eliminates the tray and putty impressions, where the experience is comparable to stuffing a big wad of gum in your mouth. The old technique is incredibly unpleasant and frequently results in taking multiple rounds of impressions that can be rejected, broken, or misplaced. The iTero scanner ensures a more accurate impression from the start, resulting in improved treatment and a more comfortable patient experience. Digital impressions also give you the ability to see your teeth instantly in 3D, improving communication during the consultation and treatment process.
The iTero scanner digitally captures the structure of the teeth and gums using the latest optical technology. The scanner is a compact, hand-held wand. Once your orthodontist begins the scanning process, it can be stopped and started as many times as necessary.
Your mouth is scanned with a radiation-free laser, and in as little as two to three minutes, the laser renders a digitally perfect, 3D impression of your teeth and soft tissue structures. Through digital software, you’ll then be able to follow the progress of the scans, including a 3D model of your teeth on our computer screen. The iTero scanner can be used for any orthodontic treatment, including Invisalign®.

The American Association of Orthodontists recommends that children see an orthodontist as early as age 7. The goal of early treatment is to correct the growth of the jaw and certain bite problems, such as underbite. Early treatment also helps to make room for permanent teeth to come in properly, lessening the chance of extractions in the future.
Most children lose all their baby teeth by age 13, and by the end of their teen years, the jaw bones will harden and stop growing. Orthodontic procedures for adults often take more time and can involve tooth extraction or oral surgery.
Receiving early orthodontic treatment as a child (between the ages of 5 and 10) can help prevent the need for orthodontics as an adult, leaving little to no chance of extraction or surgery in the future.
Side note: Early treatment (also known as Phase One) typically begins around age eight or nine (Phase Two begins around age 11 or older).

Our Two-Phase Orthodontic Treatment is a specialized process that combines tooth straightening with physical, facial changes. The purpose of a two-phase treatment is to maximize the opportunity to accomplish the ideal healthy, functional, and aesthetic result that will remain stable throughout your child’s life.
Putting off treatment can result in a need for more invasive treatment later in life. And because their bones have already set, it may not completely fix your child’s smile problems. Early treatment is most effective for achieving lasting results.

The goal of Phase-One Treatment is to help the jaw develop in a way that will accommodate all of the permanent teeth and improve the way the upper and lower jaws fit together. Children often exhibit early signs of jaw problems as they grow and develop. An upper jaw that is growing too much or is too narrow can be recognized at an early age. If children over the age of six are found to have this jaw discrepancy, they are candidates for early orthodontic treatment. Also, if children around the age of eight have crowded front teeth, early treatment can prevent the need to extract permanent teeth later.
Children benefit tremendously from early-phase treatment. Receiving early treatment may prevent the removal of permanent teeth later in life, or the need for surgical procedures to realign the jaws.
Orthodontic records will be necessary to determine the type of appliances to be used, the duration of treatment time, and the frequency of visits. Records consist of models of the teeth, X-rays, and photographs. During your child’s initial consultation, the doctor will take records to determine if early treatment is necessary.

In this phase, the remaining permanent teeth are left alone as they erupt. Retaining devices may not be recommended if they would interfere with eruption. It is best to allow the existing permanent teeth some freedom of movement. A successful first phase will have created room for permanent teeth to find an eruption path. Otherwise, they may become impacted or severely displaced.
At the end of the first phase of treatment, teeth aren’t in their final positions. This will be determined and accomplished in the second phase of treatment. Selective removal of certain primary (baby) teeth may be in the best interest of enhancing eruption during this resting phase. Therefore, periodic recall appointments for observation are necessary and typically happen every six months.
The goal of the second phase is to make sure each tooth has an exact location in the mouth where it is in harmony with your child’s lips, cheeks, tongue, and their other teeth. When this equilibrium is established, your child’s teeth will function together properly. Phase Two usually involves full upper and lower braces.
At the beginning of the first phase, orthodontic records were made and a diagnosis and treatment plan was established. Certain types of appliances were used in the first phase to correct and realign the teeth and jaw.
The second phase starts when all of your child’s permanent teeth have erupted. Typically this phase requires your child to get braces on their upper and lower teeth for up to 24 months. After that, retainers are worn to ensure your child keeps their beautiful smile for decades to come..

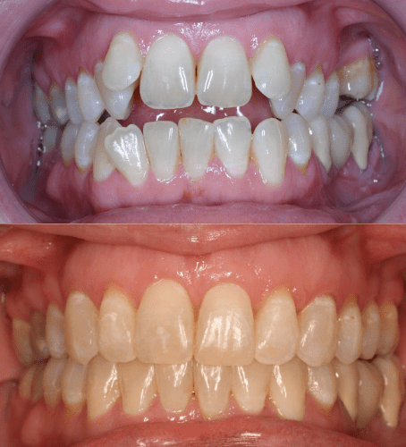
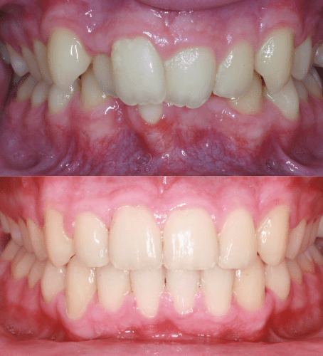
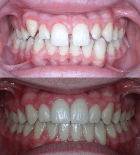
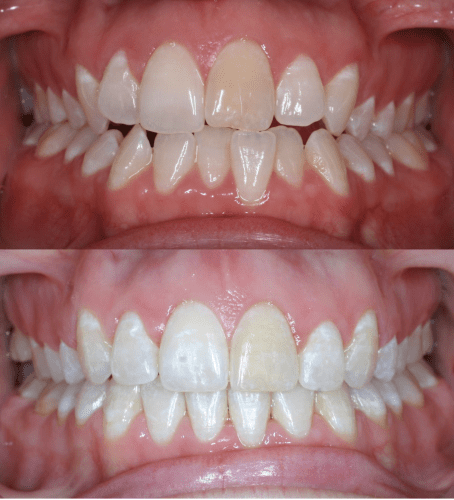
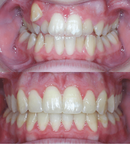
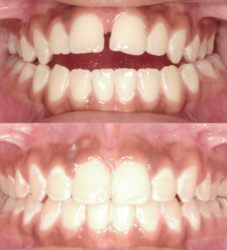
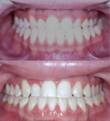
We love watching our patients’ smile transformations. Check out these incredible before and after photos.